Special Menuスペシャルメニュー
セルフホワイトニング
セルフホワイトニング4つの特長
① 低価格通常のホワイトニングに比べ、安価な料金でホワイトニングが可能です。
② 短時間・短期間
一回あたりの施術時間は約30分。 一回の施術でも効果は感じられますが、初めは1~2週間に一回、その後は1カ月に1回などを目安で効果を持続させることができます。
③ 安心安全
施術に使われる溶剤は、食品や化粧品などでも使われている無機化合物で作られており、LEDライトも安全な波長域を使用しているため安心して施術を受けられます。
④ 自然な白さ
予め施術回数が決まったものではなく、一回単位での施術が可能で、ご自身のペースに合わせて好き時間に、また好みの白さになるまでといった融通が利きます。
従来のホワイトニングとの比較

セルフホワイトニング 施術の流れ

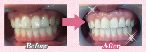
セルフホワイトニングの効果

よくある質問
Q.歯の本数などの制限はありますか?
A.マウスオープナーを装着戴き、LEDライトの光が当たる範囲でホワイトニングが可能ですので、本数による制限はございません。
Q.どのくらい白くなりますか?
A.個人差はありますが、データ上ほとんどの方が2・3トーンUPしています。特にタバコを吸う方は色素沈着が多いので最大7・8トーンUPの方もいらっしゃいます。色味だけではなく、エナメル質がツヤツヤになり、歯垢が除去されツルツル感がしばらく持続します。
Q.一度行えば白い歯のままでいられますか?
A.日常生活をお送り戴く中で、お食事や喫煙などによって汚れは再び付いていきます。明るい状態を維持するためにも、月に1〜2回のケアを推奨しております。
Q.続け方は?
A.理想ははじめの一か月は毎週。翌月からは月1・2回のメンテナンスをお勧めいたしております。しかしホワイトニングの場合、続け方もセルフなのでお好みで毎日でも、毎月でも気になった時のご来店をおススメします。
Q.歯医者で治療中でもできますか?
A.先生に確認をしていただくのが最善ですが、治療中や虫歯がある方・差し歯・インプラント・詰め物等がございましても問題はございません。歯のベニヤに関しましては、元々非常に割れやすい物でございます。光による破損は考え辛いですが、万が一の事を考え先生に先に確認していただく事をおススメいたします。
A.マウスオープナーを装着戴き、LEDライトの光が当たる範囲でホワイトニングが可能ですので、本数による制限はございません。
Q.どのくらい白くなりますか?
A.個人差はありますが、データ上ほとんどの方が2・3トーンUPしています。特にタバコを吸う方は色素沈着が多いので最大7・8トーンUPの方もいらっしゃいます。色味だけではなく、エナメル質がツヤツヤになり、歯垢が除去されツルツル感がしばらく持続します。
Q.一度行えば白い歯のままでいられますか?
A.日常生活をお送り戴く中で、お食事や喫煙などによって汚れは再び付いていきます。明るい状態を維持するためにも、月に1〜2回のケアを推奨しております。
Q.続け方は?
A.理想ははじめの一か月は毎週。翌月からは月1・2回のメンテナンスをお勧めいたしております。しかしホワイトニングの場合、続け方もセルフなのでお好みで毎日でも、毎月でも気になった時のご来店をおススメします。
Q.歯医者で治療中でもできますか?
A.先生に確認をしていただくのが最善ですが、治療中や虫歯がある方・差し歯・インプラント・詰め物等がございましても問題はございません。歯のベニヤに関しましては、元々非常に割れやすい物でございます。光による破損は考え辛いですが、万が一の事を考え先生に先に確認していただく事をおススメいたします。
×
| 店舗名 | TELでのご予約 | WEBからのご予約 |
|---|---|---|
| Hair Salon JEWEL | 099-210-7719 | WEB予約はこちら |
×
| Hair Salon JEWEL | WEB予約 |
×
| Hair Salon JEWEL | 099-210-7719 |